Heute hatte Felipa ihren ersten OP-Termin.
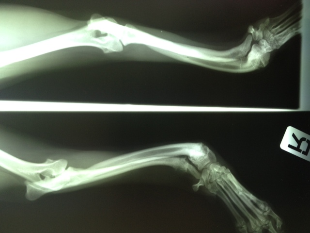
Wir waren alle sehr aufgeregt. Und selbst der erfahrene Arzt meinte, es sei eine ungewöhnliche Aktion, denn normalerweise weist nur ein Pfötchen so starke Anomalien auf. Er hatte es noch nicht, dass beide operiert werden müssen.
Felipa war relativ unbeeindruckt von der ganzen Geschichte und tanzte schon kurz nach dem Eingriff wieder auf dem Tisch herum.
In sechs Wochen erfolgt dann die zweite OP.
Wir danken herzlich für die Geldspenden, die dies alles erst ermöglicht haben - aber bitten auch dringend um weitere Überweisungen, denn wir mussten heute auch Griffin operieren lassen, der sich mit Kniescheibenproblemen herumplagte. Und weil Lucy auch Probleme zu haben scheint, haben wir sie heute mitgenommen zum Röntgen. Es stellte sich leider heraus, dass sie einen Kreuzbandriss hat, der ebenfalls operiert werden muss.
Kein Tier soll bei uns Schmerzen leiden müssen, bloß weil das Geld nicht reicht. Deshalb hoffen wir inständig auf Ihre Hilfe.
Unser Spendenkonto
Tierheim Verlorenwasser
Kontonummer: 35 27 00 34 00
Mittelbrandenburgische Sparkasse
Bankleitzahl: 160 500 00

